Centro Hospitalario

La Paz Occidente
Escríbenos Llámanos Direcciones

Clinicas Médicas

Los Cedros
Llámanos Direcciones

Grupo Dental

Sonrisa
Escríbenos Direcciones
Acerca de mi
+20 años de experiencia en el campo.
Atención personalizada a cada paciente.
Disponibilidad de horario.
Equipo y tratamiendo de vanguardia.

Paleta de tratamientos:



  • Implantes dentales
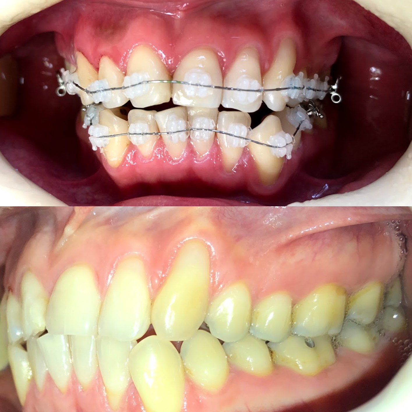
  • Ortodoncia
  • Odontopediatría y ortopedia
  • Odontología restaurativa
  • Odontología preventiva
  • Rehabilitación oral
  • Tratamientos dentales y bucales


  • Desde Octubre del 2002 cada cita, cada paciente y cada tratamiento me han hecho crecer y superar mis estándares y calidad hasta el dia de hoy.

    Tratamientos comunes

    Sellantes

    Los sellantes dentales son materiales que se emplean en para sellar las fosas y fisuras oclusales de los dientes para ayudar a protegerlos de la caries.

    Rellenos

    Usando como base materiales metálicos son de amalgama dental, una aleación estable fabricada con plata, estaño, cobre y otros metales, que ayudan en rellenar zonas de caries de gran tamaño en los dientes traseros.

    Endodoncia

    También conocido como tratamiento de canales. Se elimina y rellena el interior del diente. El interior removido puede llegar a contener vasos sanguíneos, nervios y tejido conectivo.

    Implantes

    Es un componente quirúrgico con alta calidad que se incrusta con el hueso de la mandíbula o maxilar para poner una prótesis dental como una corona, puente, dentadura postiza o prótesis facial tambien para actuar como anclaje en ortodoncia.

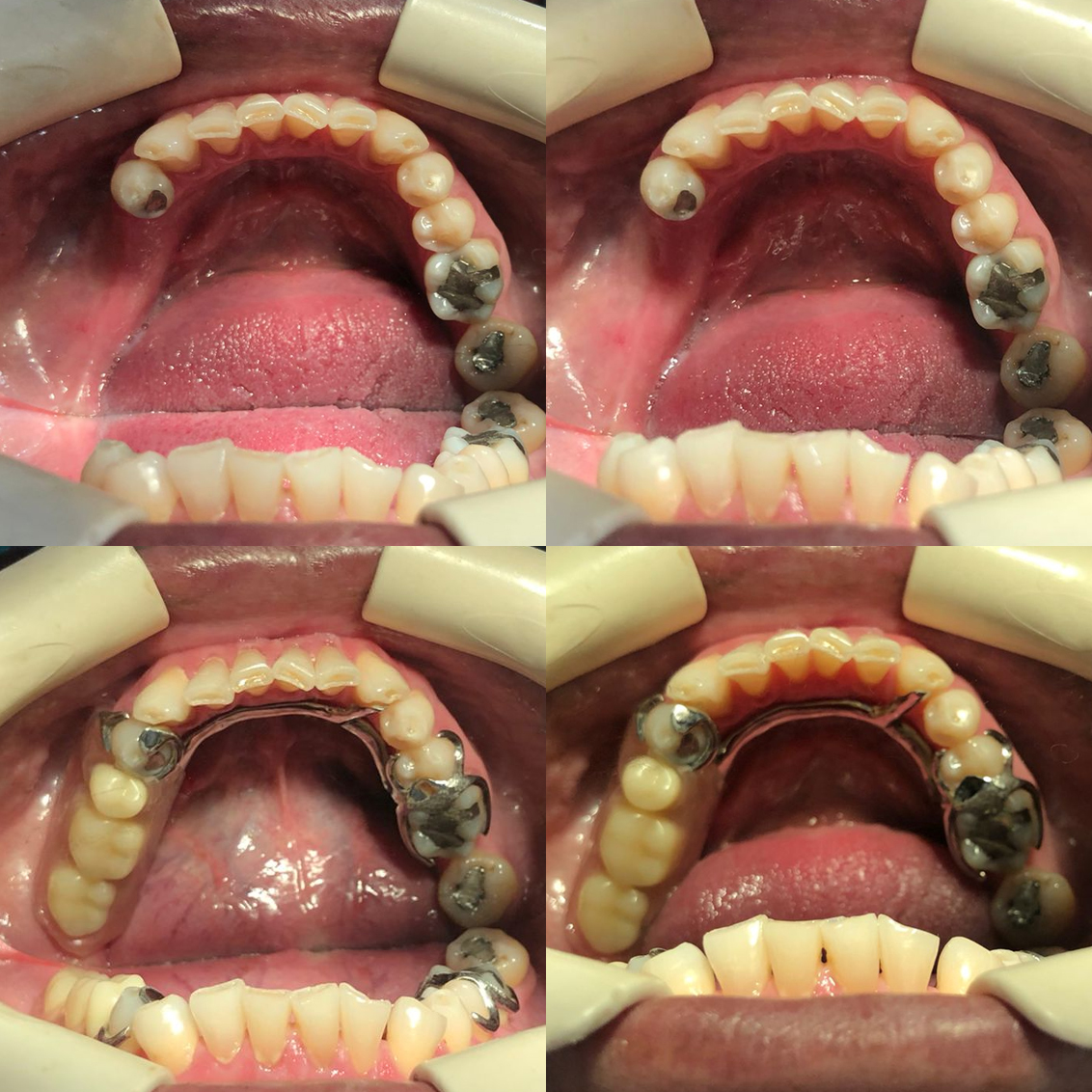
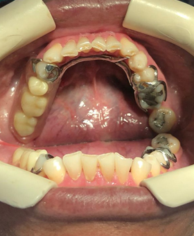
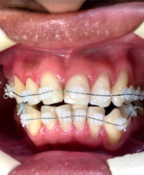
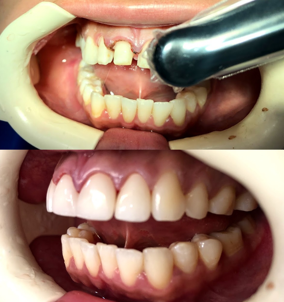
    Nuestros pacientes

    Algunos de muchos pacientes satisfechos

    • Todos
    • Implantes
    • Ortodoncia
    • Odontopediatría
    • Blanqueamientos
    • Otros

    Equipo médico

    Contacto

    Puedes hacer tu cita en cualquiera de nuestras redes sociales!

    • +502 5512 5718
    • +502 7767 4844
    • +502 5710 0116
    • ingridmartinezom@gmail.com